Using molecular pathology to unveil rare tumours

Molecular testing is becoming a vital tool in diagnosing cancers and guiding and monitoring treatment. Professor Sarah Coupland explains how molecular pathology is improving the detection of rare eye tumours and, potentially, patient outcomes.

The use of novel molecular diagnostic technologies is advancing at a fast pace not only in the most common cancers, but also rare types. An example of the latter is vitreoretinal lymphoma (VRL) − a highly aggressive B-cell lymphoma that is associated with central nervous system lymphoma.1 B-cells are a type of white blood cell called a lymphocyte that make antibodies specific to pathogens, such as bacteria or viruses, and are involved in the immune response. B-cell lymphomas develop when the body produces abnormal B-cells that grow out of control.

VRL has an estimated incidence of 0.46 to 1 per 100,000 persons per year. However, the incidence of VRL is increasing, in patients both with and without immunosuppression (where your immune system doesn’t function as effectively). VRL is currently associated with a poor prognosis, typically due to delays in diagnosis and a lack of effective therapies once it spreads to the brain.1,2

VRL most often affects patients over the age of 50 years, with a mean age of 63, and affects both males and females equally.1,2 VRL is known for its gradual and slow onset, often mimicking a wide range of other ocular diseases; therefore, it is often called the masquerade syndrome. It can affect one or both eyes, and can present before or at the same time as brain disease.

The use of novel molecular diagnostic technologies is advancing at a fast pace not only in the most common cancers, but also rare types.

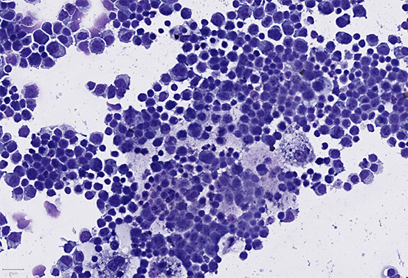
Once VRL is suspected, a vitrectomy (the surgical removal of a gel-like fluid that fills your eye called vitreous) is performed by ocular surgeons. Cytological examination − where cells within the vitreous fluid are examined under a microscope − is required, followed by immunocytology (where stains are used to highlight specific cell types) and, when possible, molecular analyses.

Since these samples are often small and consist of fragile cells, clear communication between the ocular surgical team and the receiving laboratory is essential to ensure the samples are transported quickly after the operation to the laboratory. In turn, experienced biomedical scientists and ocular pathologists play a major role in successfully processing the diagnostic material and interpreting the results.

The advantage of NGS panels is that they are flexible and allow for the inclusion of new genes as more is revealed about the different types of cancer.

Molecular examination of these samples has become a valuable tool to confirm the diagnosis of lymphoma. For example, B-cell immunoglobulin gene rearrangement tests detect changes (rearrangements) in specific genes in B-cells. Rearrangements are part of the normal development of B-cells and create an array of B-cells with different profiles that can protect you against different kinds of infections. In lymphomas, the abnormal B-cells produce identical copies of themselves, creating rearrangement profiles that are identical. The test determines whether the rearrangement profiles are diverse or identical and is a mainstay in VRL diagnosis.

The sensitivity of these tests ranges from between 65% and 95%, depending on a number of factors, including the quality of material and experience of the laboratory.1,2 False-negative results, however, may still occur in these analyses, because of the large number of naturally occurring (somatic) mutations that occur in B-cells reducing the effectiveness of the test.

To overcome this problem, bespoke next generation sequencing (NGS) panels, which allow DNA and RNA to be sequenced, have been designed over the last five years for VRL.3,4 The panels have been created based on the improved understanding of the molecular biology of the disease, including the revelation that around 75% of VRL show a mutation in the MYD88 gene in neoplastic B-cells.3

Consequently, MYD88 mutational analysis is becoming part of the routine work-up of VRL in many laboratories worldwide, and has enabled earlier definitive diagnoses in patients. In a recent multicentre collaboration, VRL was shown to display additional mutations and alterations in their tumour cells. These involved the following genes: PIM1, CD79B, IGLL5, TBL1XR1, ETV6; and deletions in chromosome 9p21/CDKN2A.5 The study also showed that cell-free DNA of the vitreous fluid supernatant (i.e. the non-cellular component of the sample) could be used to demonstrate the presence of the above mutations with reliability. This is of importance since the number of viable cells within vitrectomy samples can be very low.

[Vitreoretinal lymphoma] is currently associated with a poor prognosis, typically due to delays in diagnosis and a lack of effective therapies.

The advantage of NGS panels is that they are flexible and allow for the inclusion of new genes as more is revealed about the different types of cancer. It is likely that the VRL NGS panels will be modified further to include some of the new genes discovered in the multicentre study, to further improve the detection of this disease. There is also promise that one or more of these genes could be targeted by new therapeutic agents designed to treat this aggressive and usually fatal disease.

References

1. Araujo I, Coupland SE. Asia Pac J Ophthalmol 2017;6:283−289.
2.Fend F, Ferreri AJM, Coupland SE. Br J Haematol 2016;173:680−692.
3.Bonzheim I, Giese S, Deuter C, Süsskind D, Zierhut M,Waizel M. Blood 2015;126:76−79.
4.Cani AK, Hovelson DH, Demirci H, Johnson MW,Tomlins SA, Rao RC. Oncotarget 2017;8:7989−7998.
5.Bonzheim I, Sander P, Salmeron-Villalobos J, Süsskind D,Szurman P, Gekeler F. Blood Adv 2021; doi: 10.1182/bloodadvanc-es.2021004212 (Epub ahead of print).